DENTAL IMPLANTS IN OAKVILLE

Oakville Dental Implants

At Hopedale Dental Care, our Oakville dental office, we use dental implants as permanent replacements for missing teeth. Titanium implants are bonded to the jaw, like the root of a natural tooth. A porcelain crown is then placed on top of the dental implant to replace your lost tooth. Provided that proper care and hygiene is adhered to, dental implants from our Oakville dental clinic can last a lifetime, and their natural appearance will keep you smiling confidently.

What Are Dental Implants?

Missing teeth are not just an aesthetic issue. In addition to detracting from the look of your smile, missing teeth can cause several serious problems, including:

  • Ability to chew certain foods
  • Teeth shifting in which other teeth move out of place causing jaw pain and increased risk of gum disease
  • Difficulty speaking or pronouncing words

Benefits of Dental Implants

  • Dental implants enhance the appearance of your smile and improve your speech.
  • Because they are fixed permanently, you can enjoy all the foods you love.
  • They are an ideal replacement for loose-fitting dentures.
  • No more dentures means no more denture glue.
  • Dental Implants are not susceptible to dental decay.

How Implants Can Be Used

Our Oakville family dentist uses dental implants in many different scenarios, from replacing one missing tooth to all teeth.

Oakville Dental Implants

Single Missing Tooth: The dental implant replaces the root of that tooth so a crown can be attached to match the nearby teeth.



Oakville Dental Implants

Multiple Missing Teeth: Either an implant or crown can be used to replace each tooth or an implant bridge can be used. Here you can see how just two dental implants can support the replacement of four missing teeth.


Oakville Dental Implants

All Missing Teeth: At our Oakville Dental Office we use either removable or fixed implants are used so teeth act as real teeth do. Overdentures are removable dentures that snap onto implants to provide stability and support when chewing.




Dental Implant Case Studies

The case below shows how having implants can greatly improve the look and comfort of your smile!

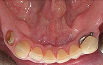
Case Study #1

Oakville Dental Implants

Fred's lower denture was too unstable. The denture was breaking teeth, which was meant to hold it.

Oakville Dental Implants

Fred received six Dental Implants from our Oakville Dentist and can now chew as if they were natural teeth!

Case Study #2

Oakville Dental Implants

Terri had a root canal tooth that fractured and needed to be removed by our Oakville dentist.

Oakville Dental Implants

Terri received implants that look better than her tooth did before, and feels like her own tooth. Her teeth were also whitened

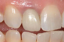
Case Study #3

Oakville Dental Implants

Stuart had a visibly discoloured tooth at the front of his mouth.

Oakville Dental Implants

Stuart's tooth was replaced with an implant and a porcelain veneer on the tooth to the right of it.

While dental implants are costly, they are a great option in comparison to other solutions for missing teeth and should be seen as an investment. If you would like to learn more about this procedure or you are having a dental emergency, please contact our Oakville dental office to learn more about implants.

© Hopedale Dental Care - All Rights Reserved
Dental Website SEO Management by
UpOnline Dental Marketing for Hopedale Dental Care